MOST RECENT ARTICLES
DENTAL RESEARCH
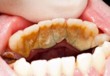
Researchers Compare Silver Diamine Fluoride vs Sealants for Community-Based Dental Caries Prevention
Dental caries is the most prevalent noncommunicable disease worldwide. The National Institute of Dental and Craniofacial Research estimates that 50% of United States children aged 6 to 8 years have experienced dental caries, with rates surging to over 70%...
Narrative Review Examines Integrating Oral Health in Cancer Care for Older Adults
The global population of older adults is expanding, with an estimated 22% of the worldwide population belonging to this demographic by 2050. This growth necessitates an assessment of health policies to support healthy aging, which is defined as the...
Systematic Review Evaluates the Global Prevalence of Dental Caries Among Racially Minoritized Children
Dental caries is one of the most prevalent preventable infectious diseases worldwide, with an estimated 2.5 billion people affected. Families with low income have a higher prevalence of dental caries, likely due to multiple barriers to care. Some barriers...

























