Lara James, RDH
Antidepressants: Medications Can Influence Direction of Dental Care
Antidepressants are used to correct chemical imbalances in the brain. The body naturally produces brain chemicals called neurotransmitters, which correlate with depression, such as...
The Uvula: Conditions that Dental Hygienists can Observe during an Exam
The uvula should not be neglected when evaluating the oral cavity for any discrepancies. The uvula is a fleshy, soft tissue in the middle...
Understanding How Menopause and Andropause Affect Oral Health
In The Female Brain, a man's neurological reality slowly wears down over time while a woman's brain is erratic. The author of the 2006...
Dental Fear, Anxiety, and Phobia: Discerning the Difference and Treatment Tips
Fear, anxiety, or phobia, tend to be used interchangeably when describing emotions about the dental office, and I’ll refer to these terms as a...
Oral Health: The Difference between Genetics, Hereditary, and Lifestyle
How often do we hear, “Just take my teeth out and give me dentures because my parents had them,” from dental patients? Or, “I’m...
TMJ Disc Displacement: Hygienist Finally Seeks Care after Year of Self-treatment
I suddenly became my own dental patient one day after years of clicking and popping in my right side temporomandibular joint ‒ nothing painful...
Dental Prevention vs. Treatment: Breaking It Down
An ounce of prevention is worth a pound of cure, and preventing disease is preferable to curing a disease. Prevention is the action of...
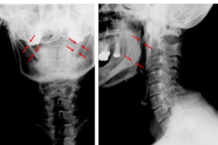
Eagle Syndrome: Dental Professionals can Identify Painful Condition on Panoramic Radiograph
Eagle syndrome (stylohyoid syndrome) is within the category of many other conditions since there are no definite known causes. Pain is experienced in the...
Dental Customer Service: The Benefits of a Pleasant Experience for Patients
If customer service seems worse these days, it’s quite delightful when good experiences do occur. I’ve had my share of awful experiences lately, and,...
Dental Professionalism: An Overview of Professionalism in the Dental Office
Professionalism is the way a person represents themselves or the business they own or work for. Professionalism is defined as a professional character, spirit,...
Be Prepared to Provide Dental Hygiene Care for Pregnant Patients
Pregnancy changes the whole body and the changes range from psychological-emotional swings to the more obvious physical changes. The mouth is not an exception...
Oromandibular Dystonia: Symptoms are Easily Observed by Dental Professionals
Dystonia is a rare condition that affects about 1% of the population during their daily lives. The condition causes involuntary, repetitive, and violent muscle...
Pain Management: How Dental Hygienists Can Interpret Varying Expressions of Pain
Why is pain so variable with dental patients? How do some patients tolerate non-surgical periodontal therapy along root surfaces with zero anesthetic? They take...
Tonsils: Close Scrutiny Can Pinpoint Disease and Raise Oral Health Awareness
Tonsils are part of the immune system and contain an abundance of white blood cells to combat germs from entering the body. They are...
Stomatitis: How Dental Professionals Treat and Manage these Conditions
Stomatitis, also known as oral mucositis, is an inflammation in the mouth that affects the mucous membranes, and the condition arises from either a...
Frenums: Checking for Frenum Abnormalities During Oral Hygiene Exams
Frenums are normal anatomy within the mouth, yet often neglected. The frenum consists of loose, fibrous connective tissue, elastic fibers, and striated muscle fibers...
Medications: General Principles for Dental Hygienists
Medications cure, treat, or prevent a disease or condition or relieve symptoms from an illness ─ vital elements to maintaining or improving health. Over...
High Blood Pressure: Medications Can Have Impact on Dental Hygiene Care
An understanding of the mechanism, the purpose, and dosage will help determine when and why multiple blood pressure medications are used. Simple lifestyle changes...
Oral Allergy Syndrome: Educate Dental Patients about Reactions to Food
Oral allergy syndrome (OAS), which is also called pollen-fruit allergy syndrome, is a type of food allergy that causes instant allergic reactions in the...
Pharmacology Review of Dental Patients’ Cholesterol Medications
Cholesterol can be controlled by diet, weight management, exercise, and lifestyle, although in some cases, medications may be required. Medications are confusing to dental...



















